Cardiac
GI
Bone
GU
Neuro
Peds
Faculty
Student
Quizzes
Image DDX
Museum
Mobile
  Misc
Videocasts
Signs
Twitter

 

 


Learning
Radiology:
Recognizing
the Basics

Available
on the Kindle
and IPad


LearningRadiology Imaging Signs
on Twitter


 

Follow us on

Case of the Week 489


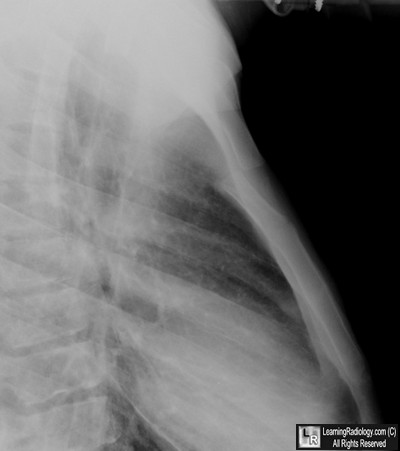
What is the most likely diagnosis?

  • 43 year-old in motor vehicle accident 2 months earlier



Close-up of lateral radiograph of chest

  1. Metastatic Lung Carcinoma
  2. Congenital Absence of the Pericardium
  3. Aortic Dissection
  4. Sternoclavicular Dislocation
  5. Sternomanubrial Dislocation

Additional Images-None

 

Additional Images

 

 

None


Answer:

 

5. Sternomanubrial Dislocation

 

More (Click Discussion Tab)

 

 

Sternomanubrial Dislocation

General Considerations

  • Rare
  • Usually occurs with high energy impact, such as motor vehicle accidents
  • Can occur with lower impact forces if there is a pre-existing arthropathy, e.g. rheumatoid arthritis or severe kyphosis
  • Joint may be synovial (dislocation most common), synchondral, or synosteal (latter two typically fracture through manubrium without dislocation)

MORE . . .

 


.

This Week

43 year-old in motor vehicle accident 2 months earlier
 
Presented as a series of cards, this podcast asks some of the most common causes of neuroimaging findings and diseases making it ideal for a quick review. Can be used as either an audio only or audio/video podcast.; Complements Video Flashcard Podcasts 15, 21,25, 38, 42, 46 and 47.
 
 
Some of the fundamentals of interpreting chest images
 
The top diagnostic imaging diagnoses that all medical students should recognize according to the Alliance of Medical Student Educators in Radiology
 
Recognizing normal and  key abnormal intestinal gas patterns, free air and abdominal calcifications
 
Recognizing the parameters that define a good chest x-ray; avoiding common pitfalls
 
How to recognize the most common arthritides


Now Open!

LearningRadiology
Named Magazine's
"25 Most Influential"



See Article on LearningRadiology
in August, 2010
RSNA News


LearningRadiology.com
is an award-winning educational website aimed primarily at medical students and radiology residents-in-training, containing  lectures, handouts, images, Cases of the Week, archives of cases, quizzes, flashcards of differential diagnoses and “most commons” lists, primarily in the areas of chest, GI, GU cardiac, bone and neuroradiology.